人工植牙
齒顎矯正
3D齒雕
牙齒美白
牙周手術
首頁 / 病例專欄
第
1
頁/共
7
頁
單顆植牙
部份缺牙植牙
全口缺牙
齒顎矯正CASE1
齒顎矯正CASE2
3D齒雕CASE1
3D齒雕CASE2
3D齒雕CASE3
牙齒美白CASE1
齒顎矯正CASE3
多顆缺牙
牙周手術CASE1
齒顎矯正CASE4
牙周手術CASE2
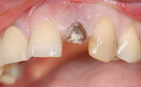
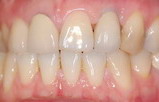
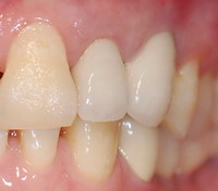
1. 單顆植牙
拔除斷裂牙根
牙根斷裂
人工植牙及假牙裝戴完成
2. 部份缺牙植牙
部份缺牙
人工植牙及假牙裝戴完成
3. 全口缺牙
下顎全口缺牙
全口覆蓋式假牙完成
4. 齒顎矯正CASE1
齒顎矯正前
齒顎矯正後
5. 齒顎矯正CASE2
齒顎矯正前
齒顎矯正後
1
2
3
關於民康
門 診 表
診療項目
醫師介紹
疑問醫答
病例專欄
線上徵才
與我聯絡
回 首 頁
台中市西屯區西屯路二段295-20號 http://www.mrcare.com.tw
電話 04-2706-9677 傳真 04-2706-9077 植牙中心 04-27073111
最後更新日期:2006/07/05 最佳瀏覽狀態:Internet Explorer6.0以上版本/螢幕解析度1024x768
Copyright 2006 民康牙醫診所 All Rights Reserved | 隱私權及資訊安全政策宣告
歐耶資訊設計維護