關於民康
影片介紹
診療項目
醫師介紹
門診表
病例專欄
疑問醫答
與我聯絡
人工植牙
齒顎矯正
3D齒雕
牙齒美白
牙周手術


1 頁/共 2
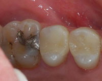
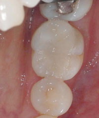
1. 3D齒雕CASE1

3D齒雕治療前

3D齒雕治療後

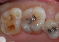
2. 3D齒雕CASE2

3D齒雕治療前

3D齒雕治療後

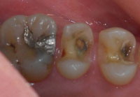
3. 3D齒雕CASE3

3D齒雕治療前

3D齒雕治療後

1

關於民康 門 診 表 診療項目 醫師介紹 疑問醫答 病例專欄 線上徵才 與我聯絡 回 首 頁
台中市西屯區西屯路二段295-20號   http://www.mrcare.com.tw
電話 04-2706-9677 傳真 04-2706-9077 植牙中心 04-27073111
最後更新日期:2006/07/05 最佳瀏覽狀態:Internet Explorer6.0以上版本/螢幕解析度1024x768 
Copyright 2006 民康牙醫診所 All Rights Reserved | 隱私權及資訊安全政策宣告            歐耶資訊網頁設計歐耶資訊設計維護