關於民康
影片介紹
診療項目
醫師介紹
門診表
病例專欄
疑問醫答
與我聯絡
人工植牙
齒顎矯正
3D齒雕
牙齒美白
牙周手術


1 頁/共 3
1. 單顆植牙
拔除斷裂牙根

牙根斷裂

人工植牙及假牙裝戴完成

2. 部份缺牙植牙

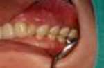
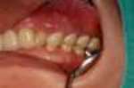
部份缺牙

人工植牙及假牙裝戴完成

3. 全口缺牙

下顎全口缺牙

全口覆蓋式假牙完成

4. 多顆缺牙

全口牙周病

植入人工牙根,全口固定假牙

5. TEST

TEST

TEST2

1

關於民康 門 診 表 診療項目 醫師介紹 疑問醫答 病例專欄 線上徵才 與我聯絡 回 首 頁
台中市西屯區西屯路二段295-20號   http://www.mrcare.com.tw
電話 04-2706-9677 傳真 04-2706-9077 植牙中心 04-27073111
最後更新日期:2006/07/05 最佳瀏覽狀態:Internet Explorer6.0以上版本/螢幕解析度1024x768 
Copyright 2006 民康牙醫診所 All Rights Reserved | 隱私權及資訊安全政策宣告            歐耶資訊網頁設計歐耶資訊設計維護